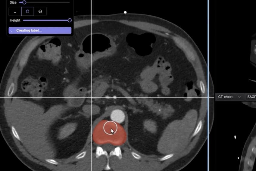
Advanced data annotation and curation platform for vision AI development
Join the teams leaving Supervisely behind to switch to Encord’s end-to-end data curation and annotation platform. Efficiently create high quality training data to improve vision AI model performance at scale without compromising speed or security.



































